Методы лечения пародонтита

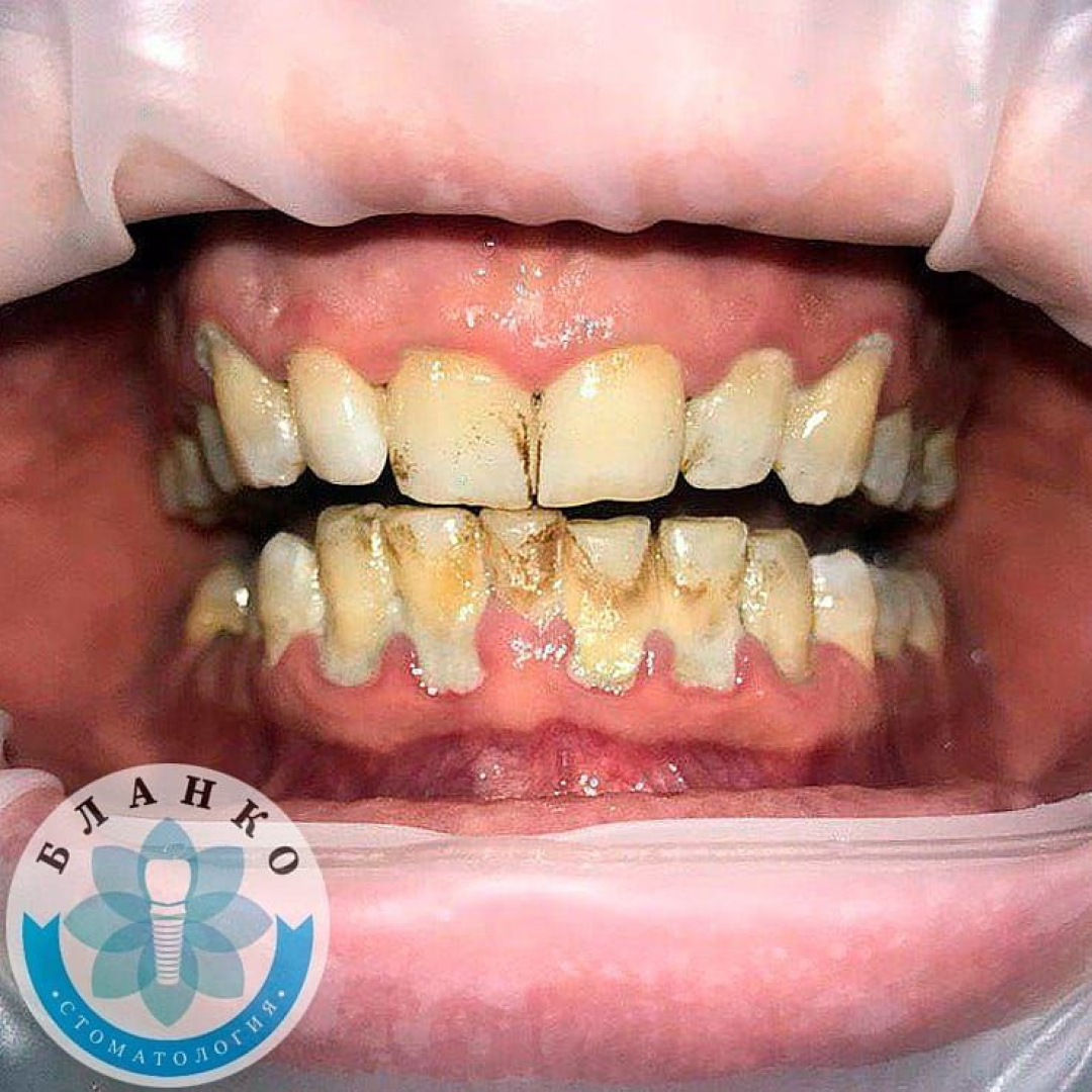
💥Методы лечения пародонтита. Пародонтит – это инфекционное поражение мягких, а также и костных тканей, которые поддерживают зуб. Если вовремя не начать лечение, то это может привести к потере зубов. К тому же это может оказать негативное влияние на организм в целом. К примеру, может повыситься уровень сахара в крови. Пародонтит – это сложное многофакторное заболевание, и лечение его должно быть комплексным.
1-ый этап – коррекция и нормализация личной гигиены полости рта. Необходимо добиться ежедневного полного удаления налёта из полости рта.
2-ой этап – профессиональная гигиена полости рта, полировка зубов над уровнем десны. После этого этапа поверхность зубов над десной становится гладкой, к ней хуже цепляются бактерии. Поверхность корня под десной остаётся шероховатой.
3-ий этап – полировка поверхностей корня под десной, удаление микробной плёнки из пародонтальных карманов.
💎На последнем фото вы видите результат сразу после глубокой чистки и заглаживания поверхности зубов. В течении трёх дней десна заживает и приобретает здоровый вид, контур, уходит воспаление и инфекционный компонент, что очень положительным образом сказывается на здоровье зубов. Так как зубной камень по своей сути конгломерат инфекции, а как широко известно инфекция имеет неприятный запах, то убрав инфекцию в виде зубного камня зубного камня, появляется поразительная свежесть дыхания и легкость общения.
⭐Автор этой великолепной работы наша замечательная, самая лучшая врач-хирург-пародонтолог Анастасия Васильевна⭐






