Лечение кариеса фронтальных зубов Днепр

😍👍Эстетическая реставрация зубов.
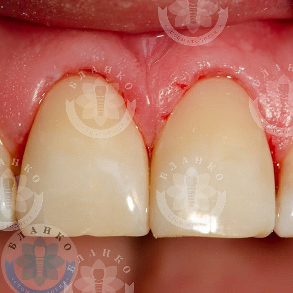
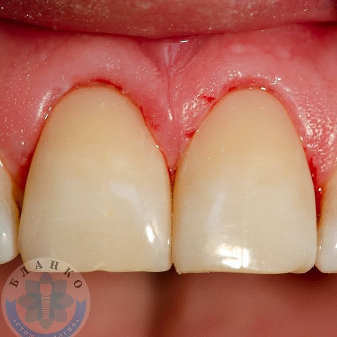
Кариес центральных резцов верхней челюсти.
💎1 фото – исходная ситуация пациента.
💎2 фото – на этапе лечения (препарирование с вестибулярной и нёбной поверхности).
💎3 фото – конечный результат сразу после реставрации. (Дёсны восстановятся в течении нескольких дней).
🌟Работа нашего врача-стоматолога, Карины Александровны👩⚕@dr.buhinna
Другие статьи
Просмотреть все новости





