Кариес передних зубов лечение цена

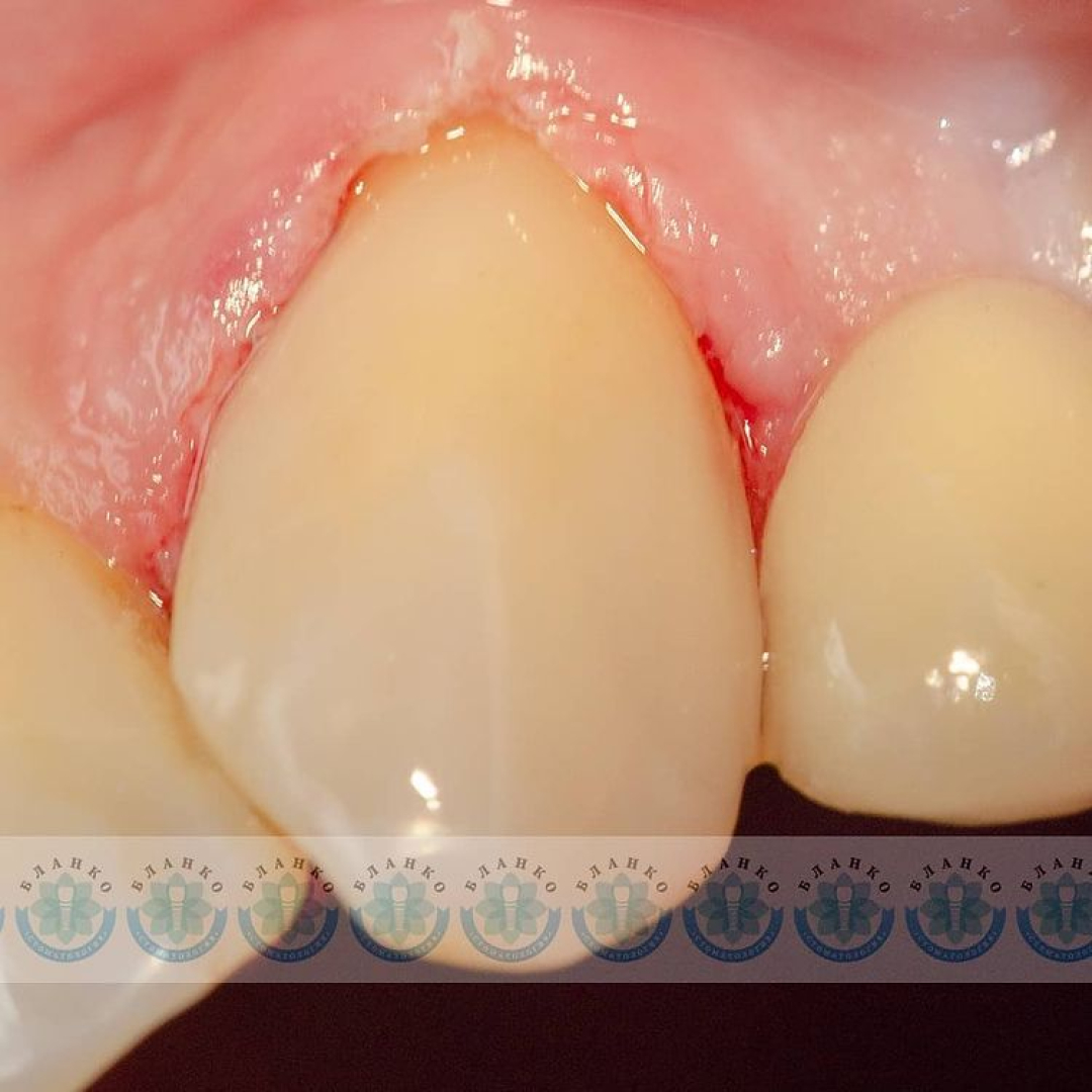
Клык — всегда особенный зуб, из-за сложной анатомии и контактных пунктов.
Но мы отлично справились👍🦋
Всегда к вашим услугам😍
Реставрация поставленная около десны требует особой полировки, десна в течении двух дней приобретает здоровый вид, за это время никак не беспокоит.
Если этого не сделать — десна будет постоянно воспаляться.
🤩👩⚕🎉
Другие статьи
Просмотреть все новости







