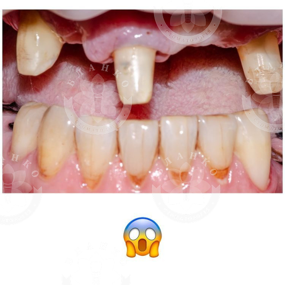
Зубной мост на передние зубы

☎✳️Пациентка обратилась с целью восстановления эстетики и жевательной функции переднего отдела зубов верхней челюсти.
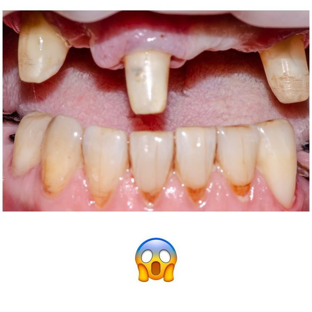
👩🏼⚕Произведено терапевтическое лечение и протезирование мостовидной конструкцией из оксида циркония.
Другие статьи
Просмотреть все новости





