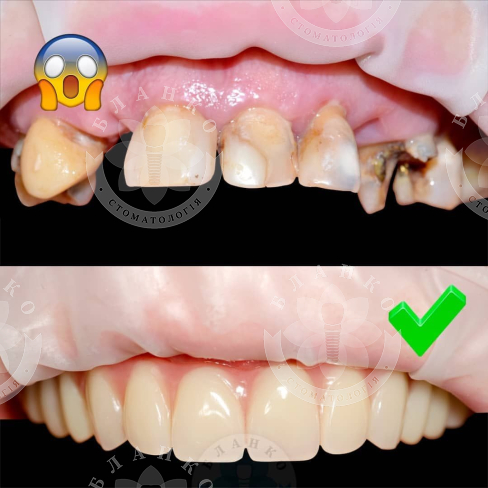
Несъемный протез на шести имплантах

📃 Жалобы пациента на: плохое состояние зубов на верхней челюсти, их подвижность, множественное отсутствие зубов.
🔹 Съёмные протезы человек не рассматривал в принципе, так как ими неудобно пользоваться, неудобно принимать пищу, кушать и улыбаться, что являлось для человека индикатором старости.
Было проведено:
⛔ Полное удаление несостоятельных зубов на верхней челюсти.
✅ В тоже посещение установка имплантов в количестве шести единиц и одновременное создание стоматологической командой Бланко временной точно сбалансированной ортопедической несъёмной конструкции на период интеграции имплантов.
👨⚕️ Спустя 4 месяца временная конструкция заменена на постоянную несъёмную ортопедическую конструкцию.





