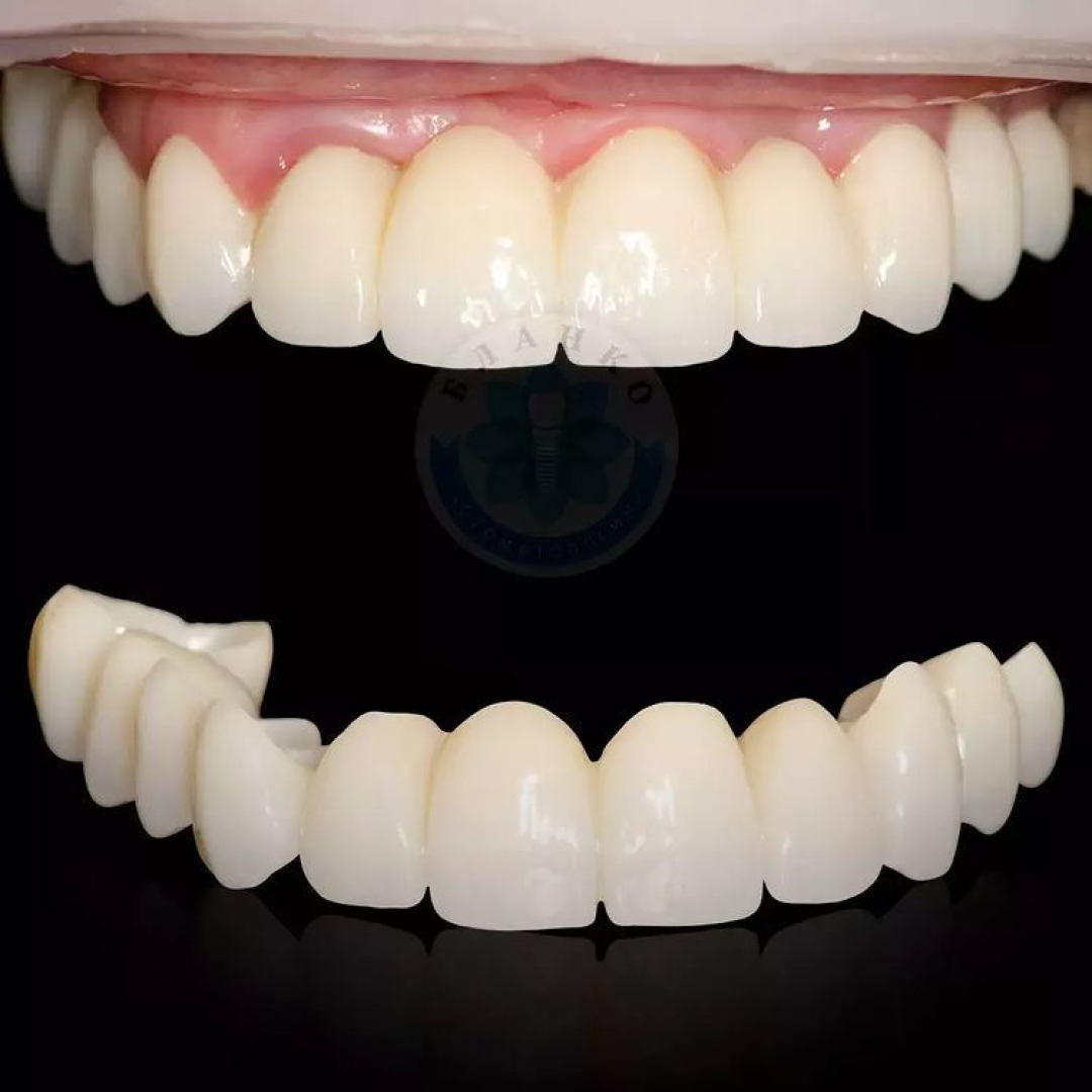
Коронки из диоксида циркония

📃 Пациент обратился с просьбой замены старой металлокерамической конструкции, на конструкцию из современного материала из оксида циркония. Внешний вид в полости рта старой конструкции к сожалению не сохранился.
⭐️ Реставрации из диоксида циркония отличаются ото всех других вариантов по качеству материала.
⭐️ Мосты и коронки отлично справляются с ежедневной жевательной нагрузкой и сохраняют свою форму неизменной.
⭐️ Диоксида циркония – гипоаллергенный материал, он не вызывает в организме никаких реакций
💎 За счёт того, что коронки и мосты получаются тонкими, можно сохранить большую часть зубных тканей.
⌚️ Цифровые оттиски, которые мы применяем в стоматологии «Бланко», в отличии от оттисков силиконовым материалом, позволяют сделать работу точнее и быстрее.





