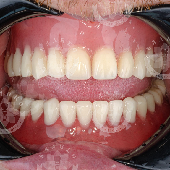
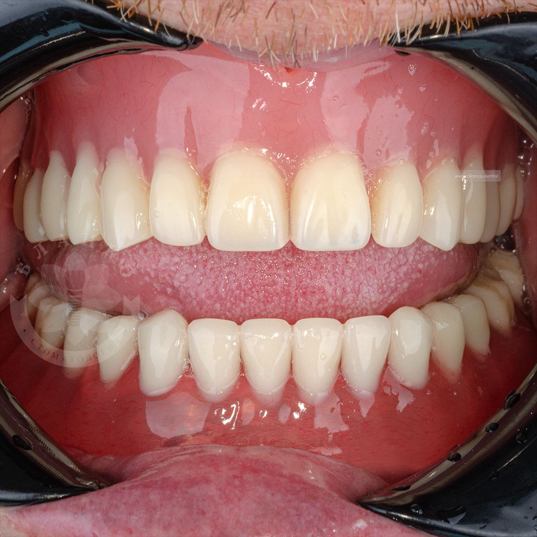
Имплантация при полном отсутствии зубов / протез на индивидуальной балке из кобальт-хрома

💎 Имплантация при полном отсутствии зубов / протез на индивидуальной балке из кобальт-хрома
😔 Жалобы на полное отсутствие зубов на верхней и нижней челюсти
✔️ На нижней челюсти были установлены 4 импланта
✔️ На имплантах зафиксирована индивидуально изготовленная металлическая балка из кобальт-хрома
✔️ Балка служит ретенционным объектом для протеза ( тип соединения «мама-папа» ),протез приобретает жёсткую фиксацию
✔️ У человека появляется возможность употреблять твёрдую пищу, улыбаться и разговаривать не боясь того, что протез потеряет своё положение в самый неподходящий момент
✔️ Такой тип протезирования позволяет избежать долгой и дорогостоящей костной пластики






