Замена старых коронок, имплантация передних зубов, протезирование оксидом цирконием

👨⚕️ Пациент обратился с жалобами на сколы в коронках, установленных 15 лет назад в другой стоматологии, и отсутствие жевательных зубов в боковых участках.
🦷 После снятия старых коронок и оценки состояния опорных зубов под ними, стало понятно, что они не подлежат восстановлению. Это происходит, в том числе, из-за удаления нервов в этих зубах. В результате человек не чувствует, когда зубы портятся, и не принимает своевременных мер. В целом, тема объемная и сложная, и ее трудно осветить тезисно в рамках одного поста. Если вкратце, профилактика и посещения доктора раз в 6 месяцев, даже если ничего не беспокоит, – залог здоровья. Вернемся к теме ➡️
📋Была спланирована и проведена операция по удалению непригодных для дальнейшего лечения зубов и установке высокопрочных титановых имплантов на место удаленных зубов.
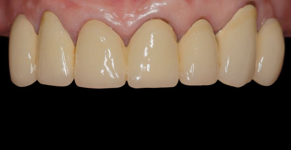
✅ В то же посещение были сняты оттиски для изготовления временных зубов. Через неделю временные зубы установлены на импланты. Через 4 месяца протокольное снятие оттисков на постоянные коронки из оксида циркония на имплантах, и через 2 недели окончательная примерка и постоянная фиксация. Параллельно с этим была проведена установка имплантов и протезирование боковых участков💎✨











