• Днепр
    ул. Шевченко, 36а
Пн-Сб 09:00 - 20:00
Вс 09:00 - 16:00
Рейтинг Google
4.9

Кейсы

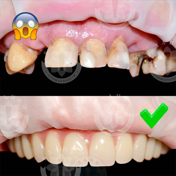
10/08/2022
Замена старых коронок на безметалловые коронки из оксида циркония

💎 Зубной мост из диоксида циркония – это несъемная ортопедическая конструкция, включающая в себя несколько коронок, надевающаяся на опорные зубы или импланты и восстанавливающая отсутствующие зубы.

15/07/2022
Циркониевые коронки Днепр

📩 Пациент обратился с просьбой:

  • восстановить жевательные функции;
  • заменить прежнюю цельнолитую конструкцию на конструкцию из оксида циркония;
12/06/2022
Виниры на передние зубы

🙋🏻‍♀️ Пациент обратится с просьбой:

  • Улучшить внешний вид зубов;
  • Выровнять зубной ряд;
  • Скрыть визуальные дефекты ( потемнение одного из центральных зубов );
23/01/2022
Коронки из диоксида циркония

📃 Пациент обратился с просьбой замены старой металлокерамической конструкции, на конструкцию из современного материала из оксида циркония. Внешний вид в полости рта старой конструкции к сожалению не сохранился.

Связаться с нами:
Позвоните:
066 911-16-17
Воспользуйтесь мессенджером:
user

BLANCO DENTAL

Онлайн допомога

user

Ласкаво просимо до спільноти стоматологів!