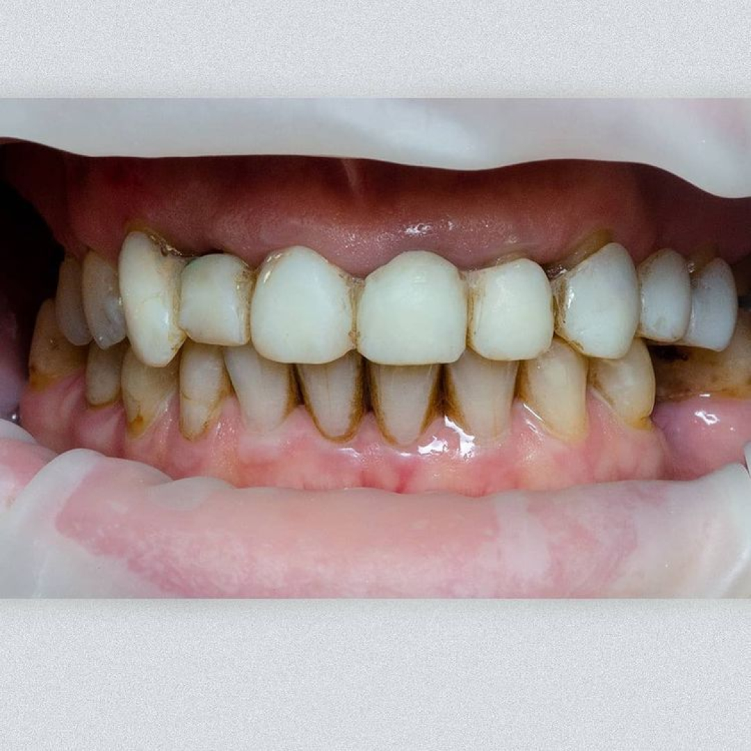
Тотальне протезування зубів

💎Була зроблена велика робота, все описати займе занадто багато тексту, приходьте на консультацію.
👍Протезування зубів за допомогою безметалової кераміки на основі оксиду цирконію - найкраще рішення для відновлення функції та естетики зубів!
💙Зроблено з любов'ю у стоматології «Бланко»
Другие статьи
Переглянути усі новини






