職員
古特尼克·奧列格·亞歷山德羅維奇
首席牙醫、植科醫生

博切娃·娜塔莉亞·弗拉基米羅芙娜
牙醫、外科醫生、治療師、骨科醫生

馬斯蒂連科·羅曼·羅曼諾維奇
牙醫、骨科醫生、外科醫生

波什瓦伊洛·弗拉基米爾·弗拉基米羅維奇
牙醫
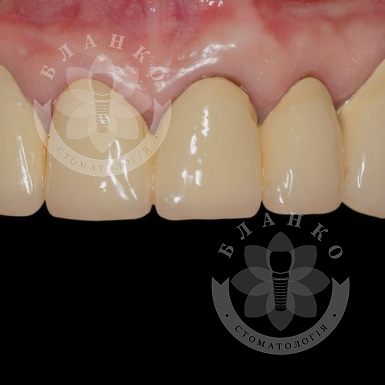
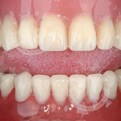
植牙 —這是修復缺牙的現代且可靠的解決方案。在Blanco牙科診所,我們提供交鑰匙牙種植,這意味著全方位的服務 —從診斷到安裝牙冠,沒有隱藏費用或意外開支。
✅ 為什麼選擇在 Blanco 診所植入?
🔹 完整服務週期 –從最初的諮詢到最終安裝牙齒。
🔹 高品質植入物 –我們只使用經過驗證的、可以使用數十年的品牌。
🔹 無痛治療 –現代麻醉方法為手術的各個階段提供了舒適感。
🔹 工作保固 –我們對我們的服務品質充滿信心,並提供官方保證。
🔹 經驗豐富的專家 –我們的醫生在植入方面擁有多年的經驗,並定期接受高級培訓。
植牙禁忌症
絕對禁忌症
相對禁忌症
暫時禁忌症
忽視禁忌症的風險和併發症
有植入禁忌症該怎麼辦?
植入前建議
絕對禁忌症 –在這些情況和疾病中,由於對患者的健康風險高或植入成功率低,植入是不可能進行的。
血液疾病
- 出血性疾病,如血友病。
- 白血病和其他腫瘤血液疾病。
免疫系統疾病
- 愛滋病和其他伴隨免疫力明顯下降的疾病。
- 急性期自體免疫疾病。
腫瘤疾病
- 腫瘤疾病的活動形式。
- 化療或放療後的狀況,尤其是頭部和頸部區域。
精神障礙
- 精神分裂症、躁鬱症急性期。
- 病人無法與醫師充分互動。
嚴重的全身性疾病
- 處於失代償階段的心血管疾病(心臟病發作、中風、心臟衰竭)。
- 處於失代償期的第 1 型糖尿病。
對材料過敏
- 個體對植入中使用的鈦或其他材料不耐受。
相對禁忌症 –在這些情況下可以進行植入,但需要進行初步準備或諮詢專家。
口腔健康
- 急性發炎過程:牙周炎、牙齦炎或感染性牙齦疾病。
- 有齲齒:植入前,需要對所有受影響的牙齒進行徹底治療。
- 缺乏骨組織:可能需要進行骨移植。
全身性疾病
- 2 型糖尿病:在血糖值補償的情況下可以進行植入。
- 高血壓:手術前必須穩定血壓。
- 骨質疏鬆症:需要諮詢內分泌科醫生並可能需要藥物治療。
壞習慣
- 吸菸:尼古丁會損害組織血液供應,從而降低植入成功的機會。
- 酗酒:影響癒合和骨整合過程。
年齡限制
- 兒童:兒童不進行植入,因為他們的下顎骨仍處於生長階段。
- 年齡較大:需要對患者的健康狀況進行額外評估。
服藥
- 血液稀釋藥物(抗凝血劑):需暫時停用或調整劑量。
- 荷爾蒙療法或類固醇的使用:可能會減緩組織癒合。
暫時禁忌症 –這些是在進行植入前必須消除的狀況。
急性傳染病
- 流感、急性呼吸道病毒感染、喉嚨痛。
- 鼻竇炎等慢性感染惡化。
懷孕與哺乳
- 不建議在懷孕期間進行植入,特別是在懷孕前期和妊娠晚期,以避免壓力和麻醉對胎兒的影響。
術後時期
- 最近接受過手術,尤其是頭部和頸部手術。
牙齒損傷
- 下顎骨折或其他需要初步治療的傷害。
如果在植入過程中沒有考慮禁忌症,可能會導致嚴重後果:
- 植入物排斥:因骨整合不足或感染過程造成。
- 發炎的發展:植體周圍炎、組織感染。
- 慢性疾病惡化:如糖尿病或高血壓。
- 一般健康危害:因手術介入導致病人病情惡化。
如果患者不適合進行植牙,這並不代表無法恢復牙齒。現代牙科提供了替代方法:
- 可摘式義齒:一種方便又便宜的牙齒修復方法。
- 牙橋:在相鄰的牙齒上安裝牙橋。
- 骨移植:如果缺乏骨組織,可以進行初步手術。
- 藥物準備:植入前健康狀況的矯正。
為了增加成功植入的機會,您應該遵循以下建議:
- 諮詢專家:如果您患有慢性疾病,諮詢治療師、心臟科醫生或內分泌專家非常重要。
- 健康的生活方式:不吸煙,不喝酒,遵守飲食習慣。
- 治療口腔疾病:消除齲齒、發炎過程。
- 遵從醫師的建議:服用處方藥,保持口腔衛生。
關於我們診所的評論
這只是我們客戶評論的一小部分
查看所有評論
А
Альфия Утимишева
Все сподобалось,було важке видалення, доктор зробив все читко

Надя Резниченко
Була на професійній чистці зубів. Все сподобалось . Детально все розповіли по догляду . Гарне ставлення .

Andrew
Отлично, рекомендую!
Врач Олег Гутник устанавливал мне имплант после неудачной имплантации в другой клинике. Многоэтапная процедура.
После имплантации почти небыло боли,
каждый последующий этап выполнен профессионально.
Я обратился по рекомендации товарища, которому...
Врач Олег Гутник устанавливал мне имплант после неудачной имплантации в другой клинике. Многоэтапная процедура.
После имплантации почти небыло боли,
каждый последующий этап выполнен профессионально.
Я обратился по рекомендации товарища, которому...
Ю
Юлия Ситник
Хочу поблагодарить весь коллектив стоматологии Бланко за весьма не лёгкий труд,а именно,за индивидуальный подход к каждому клиенту.Благодарю Олега Александровича,удалил мне зуб мудрости,буквально вытянул мне зуб одним движением руки,я осталась очень довольна.Спасибо...

Инна Геймур
Моё первое впечатление:
В клинике приветливый медперсонал,врачи. В коллекттве налаженная профессиональная команда и достаточно спокойная атмосфера. Первичную консультацию проводил главврач Гудник Олег Александрович. Я получила всю необходимую информацию.Он говорил на...
В клинике приветливый медперсонал,врачи. В коллекттве налаженная профессиональная команда и достаточно спокойная атмосфера. Первичную консультацию проводил главврач Гудник Олег Александрович. Я получила всю необходимую информацию.Он говорил на...
В
Виталий Мельнтк
Я не просто в захвати ихней работы, скажу одно специалисты от бога.Спасибо им большое, особенно Наталье Владимировной.
И
Ира Зубко
Дякую стоматології Бланко,що вирішили мою проблему,дуже професіональний і привітний колектив,рекомендую

Екатерина Южакова
Очень качественно и внимательно провели чистку! Спасибо
Е
Елена Меркулова
Посетила клинику Blanko 30.04.25. очень понравилось. Делала проф. гигиену . Вышла улыбаясь. Юрий Юрьевич большое спасибо. Рекомендую

Lara Shelling
Видаляла верхню 8-ку: не страшно, не больно, акуратно. Дякую за якісну та професійну роботу врачу Гутнику О.О.
В
Валерий Бурмистров
Хочу щиро подякувати всій команді стоматології Бланко за високий рівень професіоналізму, уважне ставлення та якісне лікування. Проходив як терапевтичне, так і ортопедичне лікування - і залишився надзвичайно задоволений результатом. Лікарі працюють дуже делікатно, все...

Наташа Раевская
Огромное спасибо доктору Наталье Владимировне за ОЧЕНЬ внимательное отношение, профессионализм, умение выслушать , максимально доходчиво объяснить и ответить на все вопросы…. Благодарю вас!
Однозначно верю в наш результат!
Всему персоналу удачи и...
Однозначно верю в наш результат!
Всему персоналу удачи и...
價格
| 服務名稱 | 價格 |
|---|---|
| Установка одного импланта «под ключ» Bauers (Украина) | 19669 ₴ |
| Установка одного импланта «под ключ» NeoBioTech IS II Active ( Южная Корея ) | 22389 ₴ |
| Установка одного импланта «под ключ» NeoBioTech IS III Active ( Южная Корея ) | 24199 ₴ |
| Установка одного импланта «под ключ» Bauers ASPER ( Украина ) | 31659 ₴ |
| Установка одного импланта «под ключ» ICX ( Германия ) | 31189 ₴ |
| Установка одного импланта «под ключ» Straumann ( Швейцария ) | 60949 ₴ |
| Установка одного импланта «под ключ» Bauers ( Украина ) | 32109 ₴ |
| Установка одного импланта «под ключ» NeoBioTech IS II Active ( Южная Корея ) | 34819 ₴ |
| Установка одного импланта «под ключ» NeoBioTech IS III Active ( Южная Корея ) | 36639 ₴ |
| Установка одного импланта «под ключ» Bauers ASPER ( Украина ) | 44089 ₴ |
| Установка одного импланта «под ключ» ICX ( Германия ) | 43629 ₴ |
| Установка одного импланта «под ключ» Straumann ( Швейцария ) | 73389 ₴ |
| Установка двух имплантов «под ключ» Bauers ( Украина ) + протез | 42209 ₴ |
| Установка двух имплантов «под ключ» NeoBioTech IS II Active ( Южная Корея ) + протез | 47649 ₴ |
| Установка двух имплантов «под ключ» NeoBioTech IS III Active ( Южная Корея ) + протез | 51279 ₴ |
| Установка двух имплантов «под ключ» ICX ( Германия ) + протез | 63449 ₴ |
| Установка двух имплантов «под ключ» Straumann ( Швейцария ) + протез | 110729 ₴ |
| Установка дополнительного импланта в концепции «ball-attachment» | 16969 ₴ |
| Смена матриц в протезе выполненном в концепции «ball-attachment» | 5139 ₴ |
| Установка четырёх имплантов Bauers ( Украина ) + несъемная ортопедическая конструкция, фиксация «мульти-юнит» Под ключ | 119069 ₴ |
| Установка четырёх имплантов NeoBioTech IS II Active ( Южная корея ) + несъемная ортопедическая конструкция, фиксация «мульти-юнит» Под ключ | 129949 ₴ |
| Установка четырёх имплантов NeoBioTech IS III Active ( Южная корея ) + несъемная ортопедическая конструкция, фиксация «мульти-юнит» Под ключ | 137199 ₴ |
| Установка четырёх имплантов ICX ( Германия ) + несъемная ортопедическая конструкция, фиксация «мульти-юнит» Под ключ | 187329 ₴ |
| Установка четырёх имплантов Straumann ( Швейцария ) + несъемная ортопедическая конструкция, фиксация «мульти-юнит» Под ключ | 358369 ₴ |
| Установка дополнительного импланта в концепции «all-on-four» | 15759 ₴ |
| Временная несъемная ортопедическая конструкция «всё на четырёх» система фиксации «мульти-юнит» | 35219 ₴ |
| Протез на балке «Под ключ», Bauers ( Украина ) | 94539 ₴ |
| Протез на балке «Под ключ», NeoBioTech IS II Active ( Южная Корея ) | 105409 ₴ |
| Протез на балке «Под ключ», NeoBioTech IS III Active ( Южная Корея ) | 112669 ₴ |
| Протез на балке «Под ключ», ICX ( Германия ) | 150569 ₴ |
| Протез на балке «Под ключ», Straumann ( Швейцария ) | 328259 ₴ |
| Установка дополнительного импланта в концепции «all-on-four» | 15759 ₴ |
| Временная несъемная ортопедическая конструкция «всё на четырёх» система фиксации «мульти-юнит» | 35219 ₴ |
| Установка шести имплантов Bauers ( Украина ) + несъемная ортопедическая конструкция из диоксида циркония, система фиксации «мульти-юнит», стоимость «под ключ». | 151389 ₴ |
| Установка шести имплантов NeoBioTech IS II Active ( Южная Корея ) + несъемная ортопедическая конструкция из диоксида циркония, система фиксации «мульти-юнит», стоимость «под ключ». | 167699 ₴ |
| Установка шести имплантов NeoBioTech IS III Active ( Южная Корея ) + несъемная ортопедическая конструкция из диоксида циркония, система фиксации «мульти-юнит», стоимость «под ключ». | 178589 ₴ |
| Установка шести имплантов ICX ( Германия ) + несъемная ортопедическая конструкция из диоксида циркония, система фиксации «мульти-юнит», стоимость «под ключ». | 210519 ₴ |
| Установка шести имплантов Straumann ( Швейцария ) + несъемная ортопедическая конструкция из диоксида циркония, система фиксации «мульти-юнит», стоимость «под ключ». | 424939 ₴ |
| Временная несъемная ортопедическая конструкция «всё на шести» система фиксации «мульти-юнит» | 70899 ₴ |
| Хирургический шаблон для установки одного импланта | 5869 ₴ |
| Хирургический шаблон для установки двух имплантов | 8619 ₴ |
| Хирургический шаблон для установки трёх импланта | 11229 ₴ |
| Хирургический шаблон для установки четырёх имплантов | 13979 ₴ |
| Хирургический шаблон для установки пяти имплантов | 16589 ₴ |
| Хирургический шаблон для установки шести и более имплантов | 19339 ₴ |
| Сложный разборной хирургический шаблон | 30679 ₴ |











